بهترین دکتر پریودنتیت در بندرعباس + لیست 10 تایی

پریودنتیت یکی از شایعترین بیماریهای دهان و دندان است که میتواند عواقب جدی برای سلامت دهان و حتی سلامت عمومی بدن داشته باشد. در این مقاله، به بررسی دقیق این بیماری، علل، علائم، روشهای تشخیص و درمان آن میپردازیم. پریودنتیت چیست؟ پریودنتیت یک بیماری التهابی است که بافتهای نگهدارنده دندان را تحت تأثیر قرار میدهد. […]
بهترین دکتر لب پریدگی دندان در تبریز + لیست 10 تایی

لبپریدگی دندان یکی از مشکلات رایج دندانی است که بسیاری از افراد با آن مواجه میشوند. این عارضه میتواند باعث ناراحتی و نگرانی شود، اما با آگاهی و مراقبت مناسب، میتوان از آن پیشگیری کرد یا در صورت بروز، به درمان آن پرداخت. در این مقاله، به بررسی جامع لبپریدگی دندان، علل، علائم، روشهای پیشگیری […]
بهترین دکتر دندان قروچه در اهواز + لیست 10 تایی

دندان قروچه یا بروکسیسم یکی از مشکلات شایع دهان و دندان است که میتواند عواقب جدی برای سلامت دهان و دندانها داشته باشد. در این مقاله، به بررسی دقیق این مشکل، علل آن، عوارض و روشهای درمان میپردازیم. دندان قروچه چیست؟ دندان قروچه به عمل فشردن یا سایش غیرارادی دندانها روی هم گفته میشود. این […]
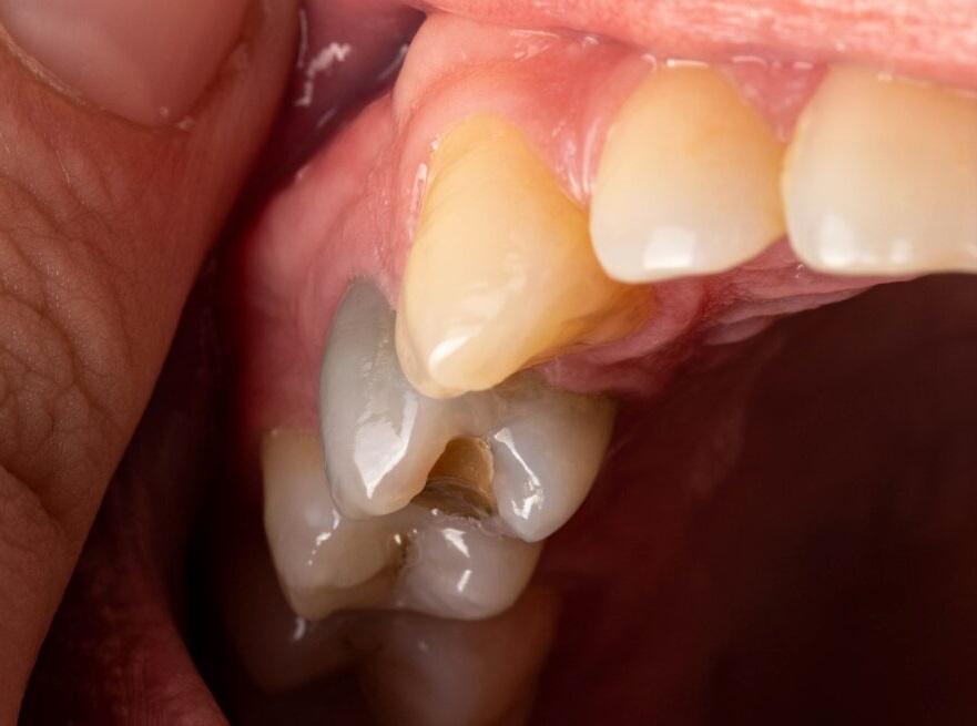
بهترین دکتر پوسیدگی ریشه دندان در مشهد + لیست 10 تایی

پوسیدگی ریشه دندان یکی از مشکلات شایع دهان و دندان است که میتواند سلامت دندانها را به خطر بیندازد. این نوع پوسیدگی معمولاً در افراد مسنتر و کسانی که از بیماریهای لثه رنج میبرند، بیشتر دیده میشود. در این مقاله، قصد داریم به طور جامع به بررسی پوسیدگی ریشه دندان، علل، علائم، روشهای پیشگیری و […]
بهترین دکتر دندان شکسته یا ترک خورده در اصفهان + لیست 10 تایی

دندانهای ما نقش مهمی در زندگی روزمره ما ایفا میکنند. از جویدن غذا گرفته تا لبخند زدن، دندانها در بسیاری از فعالیتهای ما نقش دارند. اما گاهی اوقات، حوادث یا مشکلات دندانی میتوانند منجر به شکستگی یا ترک خوردگی دندان شوند. در این مقاله، به بررسی جامع دندان شکسته یا ترکخورده، علل آن، روشهای تشخیص […]
بهترین دکتر درمان دندان نهفته در رشت + لیست 10 تایی

دندانهای نهفته یکی از مشکلات شایع دهان و دندان هستند که بسیاری از افراد با آن مواجه میشوند. این دندانها به دلایل مختلف از جمله کمبود فضا در فک یا رشد نامناسب، قادر به رویش کامل نیستند و در زیر لثه یا استخوان فک باقی میمانند. درمان دندان نهفته یک موضوع مهم در دندانپزشکی است […]
بهترین دکتر حساسیت دندان ها در شیراز + لیست 10 تایی

حساسیت دندان یکی از شایعترین مشکلات دهان و دندان است که بسیاری از افراد با آن دست و پنجه نرم میکنند. این حالت میتواند باعث ناراحتی و درد شدید هنگام مصرف غذاها و نوشیدنیهای سرد یا گرم شود. در این مقاله، به بررسی دقیق علل، علائم و روشهای درمان حساسیت دندان میپردازیم تا شما بتوانید […]
بهترین دکتر فرسایش مینای دندان در کرمان + لیست 10 تایی

فرسایش مینای دندان یکی از مشکلات رایج دندانپزشکی است که میتواند تأثیر قابل توجهی بر سلامت دهان و دندان داشته باشد. در این مقاله، به بررسی جامع این موضوع میپردازیم و اطلاعات مهمی را در اختیار شما قرار میدهیم. فرسایش مینای دندان چیست؟ فرسایش مینای دندان به از بین رفتن تدریجی لایه خارجی و محافظ […]
بهترین دکتر پوسیدگی دندان در تهران + لیست 10 تایی

پوسیدگی دندان یکی از شایعترین مشکلات دهان و دندان است که بسیاری از افراد در طول زندگی خود با آن مواجه میشوند. این مشکل میتواند از یک لکه کوچک روی مینای دندان شروع شود و در صورت عدم رسیدگی، به مشکلات جدیتر و دردناکتر تبدیل شود. در این مقاله، به بررسی جامع پوسیدگی دندان، علل […]
نبرد بر سر کاشت دندان بدون ایمپلنت و نحوه برنده شدن در آن
نصب براکت ها شاید احساس لق شدن دندان ها را برای شما ایجاد کند. البته لازم به ذکر است که مواردی از جمله بیماری های لثه، شلوغی بیش از حد دندان ها و .. می توانند دلیلی برای لق شدن دندان شما در حین ارتودنسی باشند. 6. اگر ورزش های خاصی انجام می دهید، بهتر […]